Retainers for a Lasting, Aligned, and Confident Smile
Retainers help maintain your teeth’s alignment after orthodontic treatment like braces, preventing shifting and preserving your straight, confident smile.












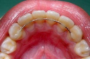
A retainer is a custom-made dental appliance designed to keep your teeth in their new position after orthodontic treatment. It fits comfortably over your teeth and helps prevent them from gradually shifting back. Retainers can be removable or fixed, depending on your treatment plan and long-term needs.
It’s important to wear your retainer as instructed, as teeth can gradually shift back to their original position. Consistent use helps maintain the results achieved through your orthodontic treatment.
Retainers are usually worn full-time for about 20–22 hours a day during the first few months after braces. Remove your retainer only while eating, cleaning, and during certain activities such as swimming or vigorous sports. This initial phase helps stabilise your teeth while they settle into their new position.
After this period, most patients transition to wearing their retainer at night on a long-term basis.
Retainers help maintain your teeth’s alignment and preserve the balanced, beautiful results of your orthodontic treatment.
Real results from our patients — subtle yet life-changing.
Bright, perfectly aligned smile
Flawless porcelain restoration
Naturally straight teeth
We evaluate your smile after orthodontic treatment to recommend the most suitable retainer for your needs.
Advanced scanning technology ensures accurate measurements for a secure and comfortable fit.
Each retainer is individually made to match your teeth and provide reliable support.
You’ll receive clear instructions and support to help you wear, maintain, and protect your retainer effectively over time.
Enjoy worry-free dental care with our membership plan—no hidden fees, no waiting periods, just exceptional care and beautiful smiles.
Fill out the form below, and we’ll contact you shortly.
Mon–Wed : 9:00am – 6:00pm
Thu & Fri : 8:00am – 5:00pm
Sat : 8:00am – 3:00pm
Sunday : Closed
© Java Dental Studio. All rights reserved by PSM Digital Agency.